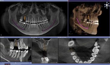
3D Röntgen (DVT)
Herkömmliche Röntgenverfahren liefern gerade im Bereich der Implantologie manchmal nur verzerrte, zweidimensionale Bilder des Knochens, die nur eine ungefähre Abschätzung der Knochendimensionen erlauben.
Hochmodernes Röntgenverfahren
Um auch bei speziellen Fragestellungen und schwierigen Ausgangssituationen eine genaue Diagnose stellen zu können, eine exakte Implantatplanung gewährleisten zu können oder einen Eingriff sicher vorbereiten zu können, bieten wir in unserer Praxis die Digitale Volumentomographie (DVT) als hochmodernes Röntgenverfahren an.
Strahlungsarme, dreidimensionale Tomographie
Bei der Digitalen Volumentomographie handelt es sich um ein dreidimensionales Röntgenverfahren, welches durch eine spezielle Kegelstrahltechnik besonders strahlungsarm ist. Hierbei können die Kieferknochenverhältnisse millimetergenau vermessen werden.
Einsatzbereiche des DVT
Implantatoperationen lassen sich millimetergenau planen. Knochenangebot und Strukturen werden vor der Operation genau analysiert, um maximalen Operationserfolg zu erzielen.
Die Volumentomographie lässt sich hervorragend bei Weisheitszähnen, die nahe an empfindlichen Nachbarstrukturen gelegen sind, einsetzen.
Bei Entzündungsprozessen an Wurzelspitzen lässt sich die genaue Ausdehnung exakt feststellen. Bei Zysten oder Knochenerkrankungen können die Ausdehnung und die Lokalisation sicher erfasst werden.
