Spinalkanalstenose
Schonende Hilfe bei Wirbelkanalverengung
Chronische, über Jahre zunehmende Rückenschmerzen, kombiniert mit einer Ausstrahlung in die Beine und eine Verschlechterung des Gehvermögens, beeinflussen die Lebensqualität erheblich. Die Betroffenen müssen oft bereits nach einer Gehstrecke von 50-100 Metern stehen bleiben, sich kurz setzen oder in die Hocke gehen, um danach weitergehen zu können. Weil diese Patienten immer wieder Pausen machen müssen, spricht man auch von der "Schaufenster-Krankheit". Zunächst denken viele an eine Erkrankung der Beinarterien. Ähnliche Symptome können aber auch durch eine Verengung des Wirbelkanals hervorgerufen werden.
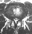
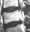
Ursache für die Spinalkanalstenose ist die verschleißbedingte Verschmälerung der Bandscheiben, die zu einer dauerhaften Fehlbeanspruchung und schließlich zur Arthrose der kleinen Wirbelgelenke führt. Die daraus resultierende Verdickung dieser Gelenke und der anliegenden Bänder führt zu einer Einengung des Wirbelkanals und der Nervenaustrittskanäle der Wirbelsäule. Dadurch kommt es zu einer dauerhaften mechanischen Reizung der Nerven. Gleichzeitig werden infolge des Verschleißprozesses chemische Reizstoffe frei, die den chronisch-entzündlichen Prozess im Wirbelkanal verstärken. Die Diagnose wird heutzutage mittels Kernspintomographie gestellt.
Therapiemöglichkeiten
Neben medikamentösen, krankengymnastischen und physiotherapeutischen Maßnahmen kommen zunächst minimalinvasive Verfahren in Betracht, mit deren Hilfe antientzündliche Depotmedikamente in den Wirbelkanal und an die kleinen Gelenke gebracht werden können. Auch nervenverödende Verfahren, wie z.B. eine Vereisung, können vorübergehend Linderung verschaffen, beseitigen aber die eigentliche Ursache nicht. Nur eine operative Freilegung des Wirbelkanals mit einer Freilegung der eingeengten Nerven kann eine langfristige Linderung herbeiführen. Dabei verzichtet man heute auf eine großzügige Knochenentfernung, die in der Vergangenheit durchaus zu einer Instabilität der Wirbelsäule geführt hat.
Wir führen diese Operation mit einer mikrochirurgischen-operativen Technik, unter Zuhilfenahme des Operationsmikroskopes durch. Mit Hilfe von Mikrofräsen werden die einengenden Knochenanteile schonend abgetragen und die Nerven entlastet und befreit. Der Eingriff dauert in der Regel 1-2 Stunden. Vor Abschluss wird unter bestimmten Bedingungen ein Schmerzkatheter in den Wirbelkanal eingeführt, der zur postoperativen Schmerztherapie dient. Die Patienten können noch am OP-Tag aufstehen. Der gesamte Klinikaufenthalt kann dank modernster und gewebeschonender Technik auf 3-5 Tage reduziert werden. Nach einer Schonzeit von 3-4 Wochen ist ein Muskelaufbautraining möglich.

